Cases 外科的根管治療の症例
外科的根管治療を受けられた患者さまの症例のご紹介です。治療の前後でどの程度改善するかすぐにおわかりいただけるよう、写真を掲載しています。
治療をご検討されている方は、ぜひご参考になさってください。
症例写真について
- すべて当院で治療を完了し、掲載の許可をいただいた患者さまのものです。
- トリミング(切り抜き)などを除き、画像の修正は行っていません。
- 治療はすべて各患者さま固有の症例に対応したものであり、ほかの方への治療結果を保証するものではありません。
症例1根の先が腫れた、被せものは外したくない

1. 最近被せたばかりの歯が腫れてきたとの主訴で来院されました。

2. エックス線検査とコーンビームCT検査を行いました。

3. 過去に外傷の既往がある歯だったようで、右上1のみ歯髄腔の病的な狭窄をみとめました。

4. 相談の結果、通法の根管治療でのアプローチは難しいと判断し、外科的根管治療(歯根端切除+逆根管充填)で対応することになりました。

5. 歯根端切除中の歯根の切断面です。
6. 染色し、処置可能な根管を同定しました。狭窄する以前の根管の形跡が確認できます。
7. 逆根管窩洞形成をおこない、MTAセメントを逆根管充填おこないました。
8. 術直後のエックス線検査画像です。
9. 術後4日で、切った縫ったの傷は問題なく、抜糸が行えました。
10. 術後半年で、歯根膜腔が明瞭になり、ほぼ治癒と判断できました。
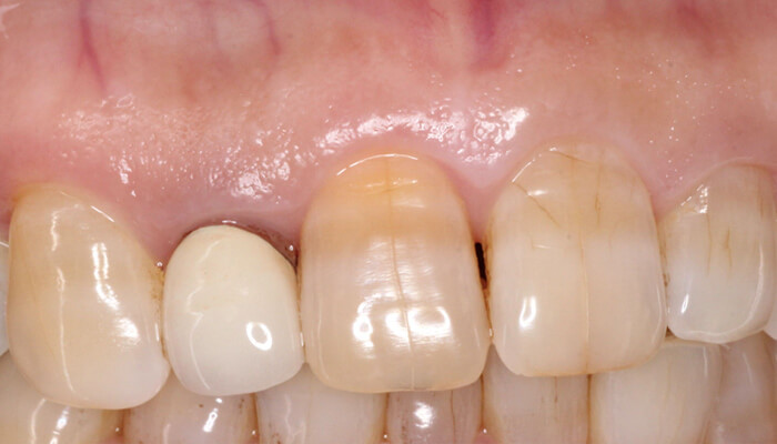
11. 術後半年での口腔内写真、根の先の瘻孔の再発もなく、傷口もほぼ目立ちません。歯ぐきもさがらず、被せものも変えなくて大丈夫でした。
12. 治療前後のレントゲン写真
13. 治療前の写真
14. 治療後の写真
| 主訴 | 根の先が腫れた、被せものは外したくない |
|---|---|
| 治療期間 | 外科的根管治療は1回で済みますが、術前診査や経過観察の必要があります。 |
| 治療費 | 外科的根管治療 前歯 ¥110,000- |
| 治療内容 | 歯根端切除+逆根管充填を行っています。 |
| 治療のリスク | 治療直後は腫れや痛みを伴います。 歯ぐきと歯肉の関係性によって、歯ぐきの後退が見られる場合があります。 |
症例2右下が腫れて、痛い
1. 右下が痛い、腫れているとの主訴で来院。右下5は既根管治療歯で補綴がされています。右下4はintactですが、右下4,3間に腫脹が見られます。
2. エックス線検査を行うと、右下5を中心とした透過像が前後の歯の根の先まで広がっていました。
3. コーンビームCTで病変の範囲の精査をしました。右下6,4の根尖まで骨欠損は広がっていましたが、生活反応が見られたため原因は右下5と判断し、まず根管治療で対応しました。
4. 通法の根管治療を行い、自覚症状や腫脹も改善したため根管充填、支台築造を行い経過観察に入りました。
5. 術後1年ほど経過し、また痛みが再発しました。コーンビームCTを撮影すると病変の範囲はあまり変化が見られないため、外科的根管治療を行うことになりました。
6. 歯根端切除+逆根管充填をおこないました。
7. 術後3年経過し、別部位でCT検査が必要になった際のデータです。左が術前、右が術後です。根尖部は完全に骨が再生しました。自覚症状もまったくなく経過良好です。
8. 治療前後のレントゲン写真
| 主訴 | 右下が腫れた、痛い |
|---|---|
| 治療期間 | 根管治療3回、 外科的根管治療1回 他経過観察 |
| 治療費 | 根管治療 小臼歯¥110,000- +外科的根管治療 小臼歯¥66,000- (根管治療後なので半額) |
| 治療内容 | 通法の根管治療の後に、外科的根管治療を行いました。 |
| 治療のリスク | 治療直後は痛みや腫れを伴います。 |
症例3根の治療を繰り返しているが、痛みが取れない
1. 一連の根管治療を2回繰り返しているが、処置ができず痛みが取れないと紹介いただいた方です。
2. エックス線とコーンビームCTで検査したところ、根尖部で根管は病的な狭窄を認めました。
3. 患者様と相談したところ、回数のかかる通常の根管治療にはもう辟易しているとのことで、治療回数の少ない外科的根管治療で対応することになりました。
4. 根尖部の歯肉を切開、剥離し、根尖の病変がある部分の確認を行ってから、病変の除去、根尖切除を行いました。
5. 根尖切断面の染色後の画像です。不規則に狭窄した根管を認めます。これを通法の根管治療で対応するのは非常に難しいと考えられ、外科的根管治療を第一選択にして正解でした。
6. 逆根管窩洞形成を行い、逆根管充填を行いました。
7. 術直後のエックス線検査です。
8. 術直後と術後9ヵ月のエックス線検査の比較です。ほぼ根尖部の透過像は改善しました。
9. 術前と、術後の歯ぐきの状態です。切開縫合の傷跡はほぼ目立ちません。
10. 治療前後のレントゲン写真
11. 治療前の写真
12. 治療後の写真
| 主訴 | 根の治療を繰り返しているが、痛みが取れない |
|---|---|
| 治療期間 | 1回+経過観察 |
| 治療費 | 外科的根管治療 前歯¥110,000- |
| 治療内容 | 歯根端切除+逆根管充填を行いました。 |
| 治療のリスク | 術直後は痛みと腫れを伴います。 |
症例4根の治療をつづけているが、改善し
ない
1. 根管充填まで行ったが痛みが取れないと紹介いただいたケース。根尖が開大しており、根管充填材の溢出が認められるため、通法の根管治療か、外科的根管治療も第一選択になりうる事を説明し、治療方針の相談を行いました。
2. 外科的根管治療で対応することになりました。前歯だったので、歯ぐきを下げないような切開線を選択しました。
3. 歯肉を切開、剥離し根の先を露わにしました。根の先からは以前の治療時に起こったと思われる根管貼薬剤や、根管充填材の溢出が見られました。プローブをあてがい根尖の切除量に当たりをつけている様子です。
4. 歯根の切断面を染色し、取りうる感染源を徹底的に観察します。
5. ルール通りの逆根管形成、逆根管充填を行い、粘膜をもどし縫合を行いました。術直後のエックス線検査も忘れません。
6. 術直後と術後1年の経過観察時の比較です。根尖部の透過像は完全に治癒しました。
7. 術直後(抜糸時)と術後1年の経過観察時の比較です。切開の痕跡はほぼわかりません。
8. 治療前後のレントゲン写真
| 主訴 | 根の治療をつづけているが、改善しない |
|---|---|
| 治療期間 | 外科的根管治療 1回 |
| 治療費 | 外科的根管治療 前歯¥110,000- |
| 治療内容 | 歯根端切除+逆根管充填を行いました。 |
| 治療のリスク | 術直後は腫れと痛みを伴います。 |
症例5何もしていなくても痛い、噛むと痛い
1. 咬合痛と自発痛を主訴に来院された左上6のケースです。
口腔内に瘻孔や膿瘍の発現はありませんでしたが、近心頬側根管の根尖相当部には触診時の明らかな圧痛を認めました。
限局的な歯周ポケットは認めず、エックス線検査において近心頬側根の根尖部透過像と、透過像内への不透過性材料の溢出を認めました。
根尖孔外異物の存在も認めたため、通法の根管治療による対応か、外科的根管治療による対応を行うかの治療方針決定のためコーンビームCT撮像を行いました。
2. コーンビームCT撮像を行ったところ口蓋根、遠心頬側根に関して、根尖部と根周囲の骨欠損像は確認できず、問題は近心頬側根に限局していました。
近心頬側根について、根尖まで処置されている第一根管と、根の半分程度まで処置されている第二根管が確認でき、第一根管からは溢出した不透過性材料の存在を認めました。
根尖部では、頬側皮質骨は開窓しておらず骨欠損像は根尖から遠心方向に進展しています。
診断を、既根管治療歯、症候性根尖性歯周炎として、患者には患歯に対して通法の根管治療及び外科的根管治療の方針が考えられる事の説明を行い、相談の末外科的根管治療での対応を希望されました。
3. ①切開、歯肉剥離の後、術前のコーンビームCTをもとに確認した骨窩洞形成範囲をプローブを用いてあたりを付けています。
②ストレートハンドピースを用いて骨窩洞形成を行いました。根尖が確認できたら、根尖を切除します。このケースの場合は上顎洞と近心頬側根の位置が離れているので、上顎洞を傷害する事は無いと思われるが、だからといって骨の過剰な削除は慎みます。
4. ③根尖の切除が完了したら直探針やエキスカベータを使用して骨窩洞から摘出を試みます。アンダーカットに嵌って摘出できない時は適宜骨窩洞を広げるようにします。
④根尖の摘出を行ったところ。術前のコーンビームCTで確認できていた根尖孔外異物はガッタパーチャだったようです。根尖孔外異物及び、歯根切断面の処置に邪魔になる肉芽組織を確実に除去します。
5. ⑤歯根切断面
⑥メチレンブルーで歯根切断面を染色した直後の写真。歯根破折などの保存を考慮しなくてはならない要因は確認できませんでした。第一根管の遠心や、第二根管の未処置部が染色されたのでこの後、超音波レトロチップを使用して逆根管窩洞形成を行いました。
6. ⑦第一根管と第二根管それぞれを独立した逆根管窩洞を形成するのでなく連続した逆根管窩洞を形成しました。
⑧逆根管充填後。逆根管充填窩洞は、歯根切断面の形態と同じような形になります。
7. ⑩術直後のエックス線検査画像。根尖切除と逆根管充填は問題なく行えています。
⑪経過観察時のエックス線検査画像。根尖切除部の透過像は改善しており、自覚症状もなく経過良好です。
8. 治療前後のレントゲン写真
| 主訴 | 何もしていなくても痛い、噛むと痛い |
|---|---|
| 治療期間 | 1回+術前診査、 経過観察 |
| 治療費 | 外科的根管治療 大臼歯¥176,000- |
| 治療内容 | 歯根端切除+逆根管充填を行いました。 |
| 治療のリスク | 術直後は腫れと痛みを伴います。 |
・機能性を重視する場合は自費(保険適用外)での診療となり、保険診療よりも高額になります。
・再度根管治療を行っても、予後が悪くなってしまうことがあります。このような場合は、外科的な治療で対応することがあります。